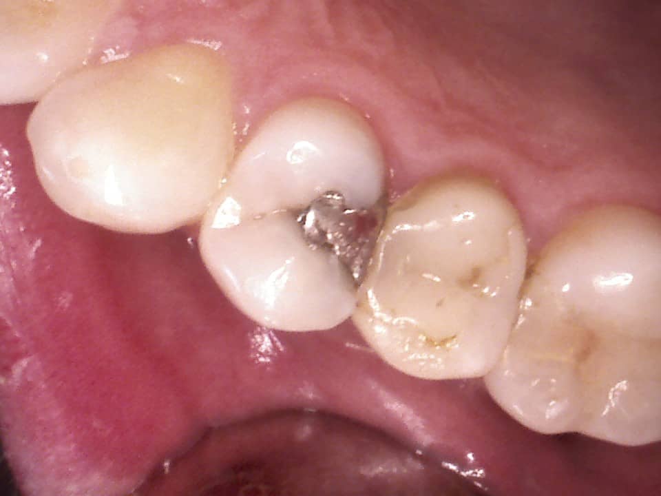
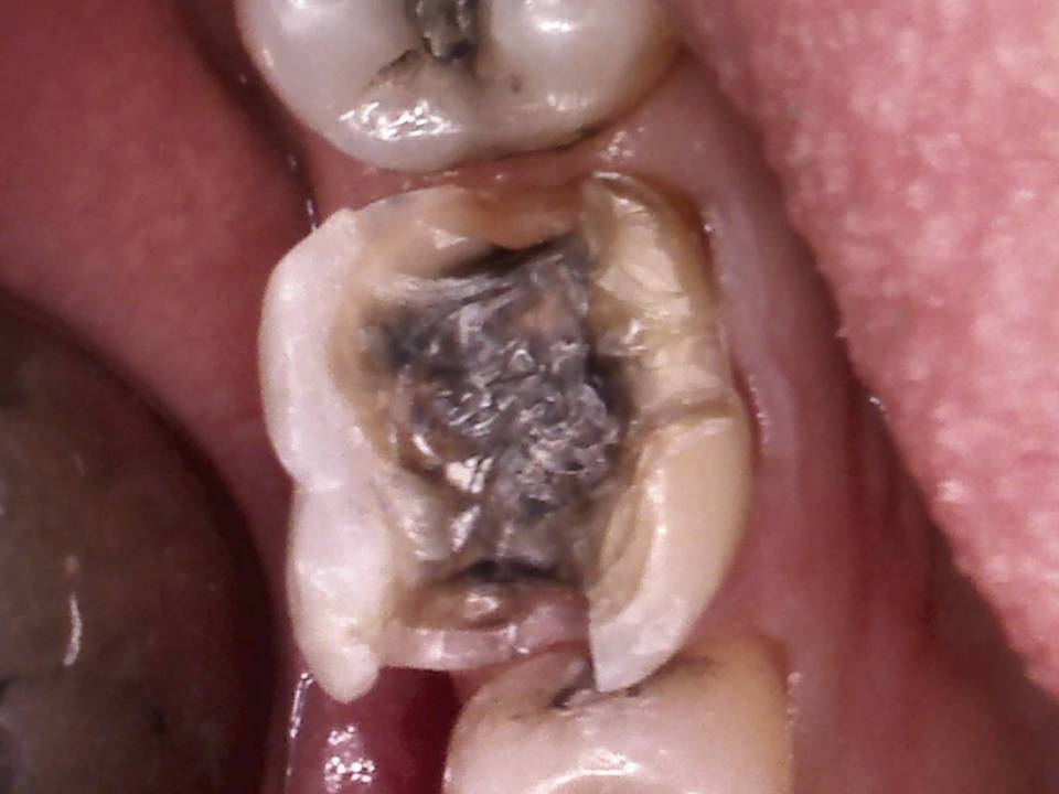
Sind Ihre Zähne doch einmal erkrankt – zum Beispiel an Karies – helfen wir Ihnen gerne, indem wir den Defekt mit Komposit- oder Amalgamfüllungen wieder reparieren.
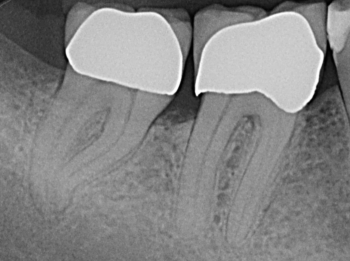
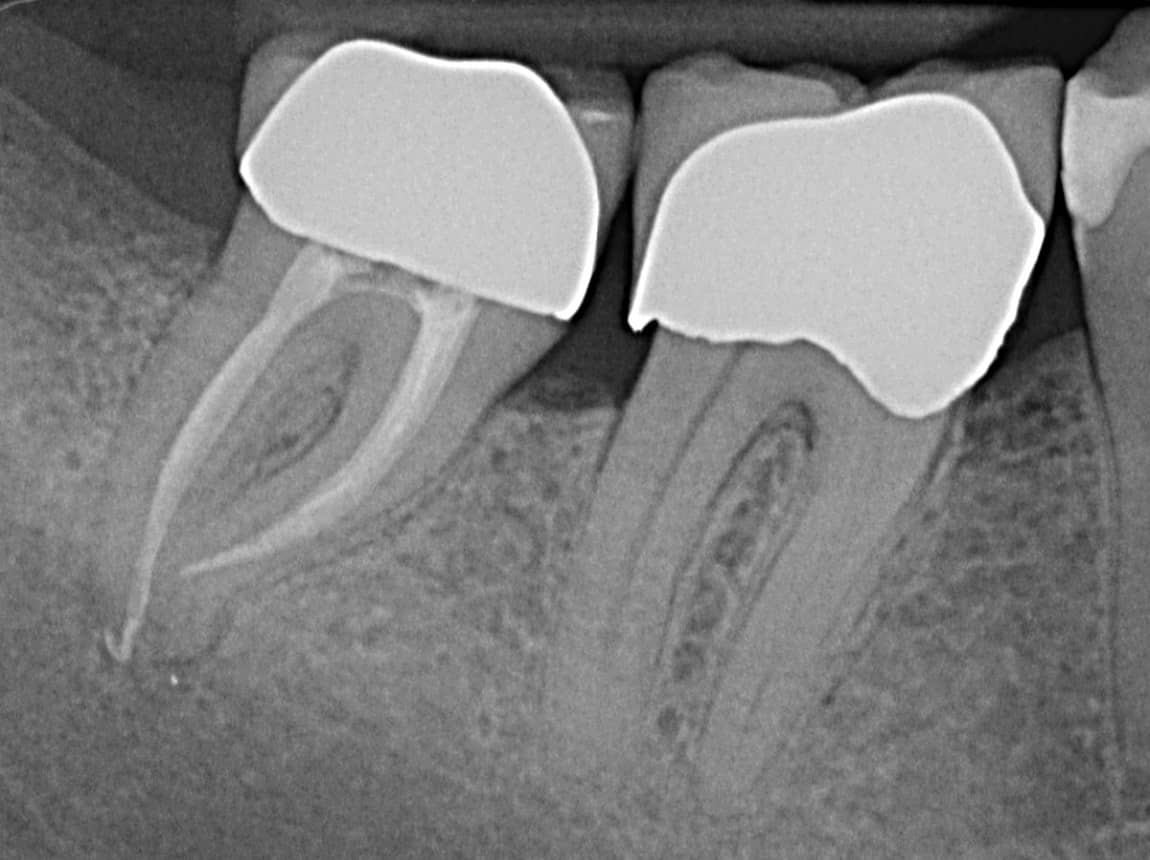
Ist der Defekt zu tief oder der Nerv im Zahn abgestorben, ist vorher eine Wurzelkanalbehandlung notwendig. Dabei wird der Hohlraum im Zahn gesäubert, desinfiziert und anschließend mit Guttapercha versiegelt. Das Ganze erfolgt in unserer Praxis in der Regel mittels moderner maschineller Aufbereitung und durch suffiziente Lokalanästhesie können unnötige Schmerzen verhindert werden.
Aber nicht nur der Zahn selbst kann erkranken. Auch der Zahnhalteapparat kann sich entzünden (Parodontitis). Hervorgerufen wird diese Erkrankung durch Bakterien, kann aber auch von anderen Faktoren wie Diabetes oder Rauchen begünstigt werden. Folgen können Zahnfleischbluten, Knochenabbau und Zahnlockerungen bis hin zum vorzeitigen Zahnverlust sein. Damit das wenn möglich nicht passiert, bieten wir eine systematische Parodontitistherapie sowie die Nachsorge von Parodontitispatienten an.






